Root Canal in Morocco
Root Canal in Morocco
Certified Endodontist
Do you have a sensitivity that lasts more than 15 seconds after drinking hot or cold substances? If this is your case or experiment pain upon biting, you may need Root Canal in Morocco.
Root Canal Therapy is a good solution for patients who have significant inflammation or infection in the pulp of a tooth. Without treatment, the infection may progress to cause pain or the formation of an abscess underneath the tooth, which affects the strength and function of the tooth.
When is a Root Canal needed?
A Root Canal Therapy is needed when the pulp becomes inflamed or infected, so the infection may spread through the root canal system of the tooth. This may eventually lead to an abscess. An abscess is an inflamed area in which pus collects and can cause swelling of the tissues around the tooth. The symptoms of an abscess can range from a dull ache to severe pain, and the tooth may be tender when you bite. Removing injured or infected pulp is the best way to preserve the structure of the tooth.
Common causes of damage to the pulp include:
Deep decay due to an untreated cavity.
Multiple dental procedures on the same tooth.
A chip or crack in the tooth
An injury to the tooth
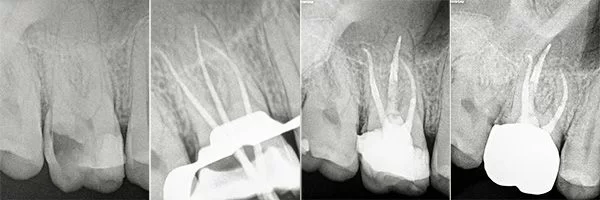
Root Canal in Morocco Before and Afters
Certified Endodontists with Microscope and Laser.
Check out our Before and Afters








Why get Root Canal in CDS
- DENTIST QUALIFICATIONS
- EQUIPMENT & TECHNOLOGY
- QUALITY MATERIAL
D.D.S. M.S. A.E.G.D. Irma Gavaldon is graduated from two of the top Dental Schools in North America: UNAM (Mexico’s most recognized college), and the University of Michigan, where she received her A.E.G.D. (Advanced Education in General Dentistry) in a two-year program, plus her Master’s Degree in Restorative Dentistry.
To diagnose, plan and execute your dental implants treatment accurately and in shorter times, our dental clinic has the following equipment: 3D CBCT Extra-oral panoramic X-Ray machine (a Carestream CS 9200 3D Machine), Intra-oral scanners, NAVIDENT, surgical guides, and our own full-equipped CAD/CAM laboratory.
While most clinics abroad offer inexpensive dental implant brands, we only work with leading global brands like Nobel Biocare, Straumann, Bicon.
We are also the only clinic able to mill in-house titanium superstructures for porcelain layering, and even zirconia superstructures for implant-retained restorations.
Root Canal Cost in Morocco
Root Canal Therapy
$6,400
USD per arch
Root Canal Retreatment
$400
USD per arch
Post & Core Build Up
$150
USD per arch
Possible Additional Costs
As a result of your initial evaluation, certain additional treatments might be necessary to complete your dental work, you can find the prices for them below:
- Possible Additional Tretments
- Pain Management and Medication
Simple Extraction
$60 USD per extraction
Surgical Placement of Implant body
$3,600 USD four implants
Bone Graft
$350 USD per CC
Reabsorbable Membrane
$100 USD per membrane
Aveloplasty / Bone Remodeling
FREE charge
Intravenous Conscious Sedation / Analgesic
$500 USD
Nitrous (Laughing Gas)
$250 USD
Local Anesthesia
FREE charge
Root Canal Procedure
Prevent further problems such as abscesses and bone loss. In some cases, a tooth will have no symptoms at all, but after full dental evaluation and X-Rays will show that the Root Canal is needed
Root Canals are done by an Endodontist and require the Specialist to make a hole through the enamel and dentin surfaces to gain access to the pulp chamber, where the Endodontist proceeds to remove the pulp, clean the pulp chamber and seal the chamber with gutta-percha. To ensure the long-term success of the tooth after a Root Canal an antibiotic is prescribed and a Post and Core Build-Up and Crown are recommended to prevent fractures or filtration of bacteria to the tooth.
Step-by-Step Root Canal Procedure
- At the beginning of the procedure, the dentist will isolate the tooth using a rubber dam and anesthetize the tooth sufficiently to prevent pain while performing the procedure.
- The dentist uses a drill to access the pulp chamber and related canals of the tooth. This allows inserting specialized dental instruments to clean the pulp chamber and root canals. Then the specialist cleans completely the remaining space and shapes it to make space for a filling. The filling will replace the pulp in the tooth.
- The dentist fills the Root Canal with a bio-compatible material. Gutta-percha and Adhesive dental cement are good options to seal the root canal. Sealing prevents future infections in the area.
- A temporary filling is placed in the hole used to access the root canals. Once the dentist deems the tooth is healing properly and the root canal is a success, he places a permanent restoration.
How does Cavity Removal work?
A Post & Core Build-Up is a treatment that is done after a Root Canal and is needed to regain stability and tooth structure to that tooth. Once the pulp chambers are cleaned and sterilized a fiber post will be placed into the chamber to help absorb the shock from masticatory forces. The Post also helps to anchor the Core Build Up to the actual tooth.
A Post is a prosthetic device made of the metal alloy used to give strength and support to the toot structure after a Root Canal Therapy was performed and the due restoration is a Crown or a Bridge.
The Core Build-Up, made of composite material, replaces the nerve extracted in the Root Canal Therapy and supports either a Crown or the Retainer for a Bridge.
The Post & Core Build-Up require to give stability to the Crown or Bridge.
The main reason why a specialist wouldn’t recommend this procedure on a tooth is when there is intense pain present, severe infections, abscesses, advanced mobility, or periodontal problems. Each case deserves special attention to ensure the tooth is a candidate for the procedure.
No. In principle they are performed similarly to the ones a local doctor can perform back home in the US or Canada, however, you will find we use the best-certified material to do them. THEY ALSO ARE PERFORMED AS ONE PROCEDURE, SO YOU WILL NOT PAY FOR THEM SEPARATELY ALLOWING YOU TO SAVE MONEY IN THE OVERALL.
After Root Canal
Apointment Instructions
Following a Root Canal treatment procedure, patients need to pay attention to some aspects during the recovery and aftercare period. Oral care is also essential to prevent further damage to the teeth after Root Canal Treatment.
Patients should be recommended to:
- Brush teeth twice a day with a fluoride toothpaste
- Floss teeth daily
- Book regular professional cleanings with the dentist or dental hygienist
- Schedule regular dental appointments to check dental health
As a general rule, the dentists advise avoiding putting excessive pressure on the affected tooth. Patients should avoid biting down on very hard or sticky foods. This type of food can cause fracture and detachment of the filling.
Patient Testimonials
Please watch what our patients have to say regarding their All on 4 treatment
Root Canal FAQs
Root Canal is the removal of the nerve or pulp of a tooth. It’s necessary to apply it when acute infection, damage, or any other injury affects the structure of the tooth. The process consists of three phases. These are the removal of the pulp, the cleaning of the canal, and filling it. All of these are procedures involved in Root Canal Therapy.
Uncontrolled sensitivity, intermittent to persistent pain while (and even when not) chewing, and infections detected by the examination of X-Rays.
Our Prices, dedicated specialists, and top materials make thousand of North American patients choose us. To Root Canal, we offer a fixed price of $250 USD while in the US the costs range from $500 – 800 USD. Crown Lengthening, post and core Build-Up and Crowns are also more affordable than in the US and Canada.
No, they are not. We follow the same US and Canada standards for these procedures. Also, we count on instruments such as Microscopes which sometimes are not available in certain dental clinics. At CDS we offer you performance equal to or better than your local clinic. Our Endodontists are highly qualified for this kind of procedure.
Our clinic is a specialty clinic, so you will be dealing with our Maxillofacial surgeon and implant specialist Dr. Javier Paz.
Dr. Gavaldon is our restorative specialist and the one who will be restoring your implants.
Dr. Javier Paz has many years of experience in oral surgeries and has had great results in the time he has been with us.
For this procedure pour specialists administer local anesthesia to numb the area and relief the patient from the pain she or he could have, and to prevent discomfort while performing the procedure.
We are specialists in Conservative Dentistry. At CDS, we believe the best is to keep natural teeth the longest possible instead of extractions. That is more beneficial for patients in the long run. Extracting a tooth causes the shifting of the teeth around, discomfort while chewing, and bone loss.
A Post is a prosthetic device of metal alloy used to give strength and support to the toot structure. The dentist places the post after a Root Canal Therapy and when the restoration is a Crown or a Bridge.
The Core Build-Up, made of composite material, replaces the nerve extracted in the Root Canal Therapy. His function is to support either a Crown or the Retainer for a Bridge.
It is required to give stability to the Crown or Bridge.
No. In principle they are performed similarly to the ones a local doctor can perform back home in the US or Canada, however, you will find we use the best-certified material to do them.
The main reason why a specialist wouldn’t recommend this procedure on a tooth is when there is intense pain present, severe infections, abscesses, advanced mobility, or periodontal problems. Each case deserves special attention to ensure the tooth is a candidate for the procedure.
Your dental work will be done by one of our specialists in Endodontics:
Dr. Guillermo Gomez (D.D.S. M.S.) – Graduated from Mexico´s most prestigious University U.N.A.M. (Universidad Nacional Autónoma de México) in 2010. Dr. Gomez did his practices in general dentistry, and he had taken national and international dentistry courses. He has a specialty in Endodontics, certified by the Technological University of Mexico in 2015. Know more about Dr. Guillermo Gomez
Dr. Thelma Esquivel (D.D.S. M.S.) – She has been practicing her Specialty of Endodontics throughout her recent years. This knowledge allows her to carry out general, preventive & restorative treatments. Dr. Esquivel regularly attends to give talks to schools and communities about Oral Health. Know more about Dr. Thelma Esquivel
Your stay in Agadir will consist of 5-7 days, depending on each particular case.
We offer Crowns of e.max porcelain for greater esthetic result for anterior teeth, as well as Zirconium for extra strength on the posterior teeth.
To book an appointment all we would need is your travel information and we will organize the rest for you. Simply call our toll-free number 1 888 231 8041 to schedule an evaluation. Our Dental Coordinators will be more than happy to assist you.
Treatment Alternatives
If the tooth has been severely decayed to the gum line or if their tooth is found to be brittle upon physical evaluation we may have to extract the tooth to prevent further infection.
We use the Bicon System of Short Implants in order to take advantage of minimal bone levels and avoid vital structures such as the sinus or mental foramen, which usually require multiple visits.
Zygomatic dental implants are implants that are much longer than conventional implants (40 mm – 50 mm), and are placed in the dense Zygoma bone or otherwise known as the cheekbone.
Mini Dental Implants in Morocco is a great option for patients that are not candidates for normal Implants. It is also a great option for the Snap-on Dentures Treatment we offer. The Snap-on Dentures treatment in Morocco is a one-trip solution where we will place either 4-8 Mini Implants or a Snap-on Denture.